KO-Validated IRF3 Rabbit mAb (20 μl)

KO-Validated IRF3 Rabbit mAb (20 μl)

Brand: Abclonal
Cat. #: A27272
Availability: In Stock
$148.00
-+
Reactivity: Human, Mouse, Rat
Applications: WB, IHC, IF/IC, IP, ELISA    
Host Species: Rabbit    
Isotype: IgG    
Clonality: Monoclonal antibody    
Gene Name: interferon regulatory factor 3
Gene Symbol: IRF3
Synonyms: IIAE7
Gene ID: 3661
UniProt ID: Q14653
Immunogen: Recombinant fusion protein containing a sequence corresponding to amino acids 1-260 of human IRF3 (NP_001184051.1).
Dilution: WB 1:11000-1:44000; IHC 1:600-1:3000; IF/IC 1:100-1:400
Purification Method: Affinity purification
Concentration: 1.13 mg/ml
Buffer: PBS with 0.09% Sodium azide, 0.05% BSA, 50% glycerol, pH7.3.
Storage: Store at -20°C. Avoid freeze / thaw cycles.
Documents: Manual-IRF3 monoclonal antibody




Background

This gene encodes a member of the interferon regulatory transcription factor (IRF) family. The encoded protein is found in an inactive cytoplasmic form that upon serine/threonine phosphorylation forms a complex with CREBBP. This complex translocates to the nucleus and activates the transcription of interferons alpha and beta, as well as other interferon-induced genes. The protein plays an important role in the innate immune response against DNA and RNA viruses. Mutations in this gene are associated with Encephalopathy, acute, infection-induced, herpes-specific, 7.




Images

IRF3 rabbit mAbWestern blot analysis of various lysates using [KO Validated] IRF3 Rabbit mAb (A27272) at 1:11000 dilution incubated overnight at 4℃.
Secondary antibody: HRP-conjugated Goat anti-Rabbit IgG (H+L) (AS014) at 1:10000 dilution.
Lysates/proteins: 25 μg per lane.
Blocking buffer: 3% nonfat dry milk in TBST.
Detection: ECL Basic Kit (RM00020).
Exposure time: 30s.
Western blot analysis of lysates from wild type (WT) and IRF3 knockout (KO) HeLa cells using [KO Validated] IRF3 Rabbit mAb (A27272) at 1:11000 dilution incubated overnight at 4℃.
Secondary antibody: HRP-conjugated Goat anti-Rabbit IgG (H+L) (AS014) at 1:10000 dilution.
Lysates/proteins: 25 μg per lane.
Blocking buffer: 3% nonfat dry milk in TBST.
Detection: ECL Basic Kit (RM00020).
Exposure time: 30s.
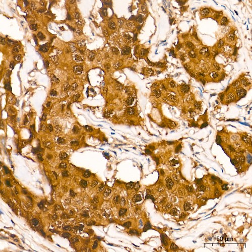
Immunohistochemistry analysis of paraffin-embedded Human breast cancer tissue using [KO Validated] IRF3 Rabbit mAb (A27272) at a dilution of 1:2000 (40x lens). High pressure antigen retrieval performed with 0.01M Tris-EDTA Buffer (pH 9.0) prior to IHC staining.
Immunohistochemistry analysis of paraffin-embedded Human kidney tissue using [KO Validated] IRF3 Rabbit mAb (A27272) at a dilution of 1:2000 (40x lens). High pressure antigen retrieval performed with 0.01M Tris-EDTA Buffer (pH 9.0) prior to IHC staining.
Immunohistochemistry analysis of paraffin-embedded Human thyroid cancer tissue using [KO Validated] IRF3 Rabbit mAb (A27272) at a dilution of 1:2000 (40x lens). High pressure antigen retrieval performed with 0.01M Tris-EDTA Buffer (pH 9.0) prior to IHC staining.
Immunohistochemistry analysis of paraffin-embedded Mouse intestin tissue using [KO Validated] IRF3 Rabbit mAb (A27272) at a dilution of 1:2000 (40x lens). High pressure antigen retrieval performed with 0.01M Tris-EDTA Buffer (pH 9.0) prior to IHC staining.
Immunohistochemistry analysis of paraffin-embedded Mouse testis tissue using [KO Validated] IRF3 Rabbit mAb (A27272) at a dilution of 1:2000 (40x lens). High pressure antigen retrieval performed with 0.01M Tris-EDTA Buffer (pH 9.0) prior to IHC staining.
Immunohistochemistry analysis of paraffin-embedded Rat kidney tissue using [KO Validated] IRF3 Rabbit mAb (A27272) at a dilution of 1:2000 (40x lens). High pressure antigen retrieval performed with 0.01M Tris-EDTA Buffer (pH 9.0) prior to IHC staining.



You may also be interested in:


LIFESCT © 2025

Publications

text_heading

Our Location

405 East Gude Dr., Suite 205, Rockville, MD 20850, USA

+1-301-328-1977