KO-Validated Insulin-degrading enzyme (IDE) Rabbit pAb (20 μl)

KO-Validated Insulin-degrading enzyme (IDE) Rabbit pAb (20 μl)

Brand: Abclonal
Cat. #: A1630
Availability: In Stock
$128.00
-+
Reactivity: Human, Mouse
Applications: WB, IHC, IF/IC, ELISA    
Host Species: Rabbit    
Isotype: IgG    
Clonality: Polyclonal antibody    
Gene Name: insulin degrading enzyme
Gene Symbol: IDE
Synonyms: INSULYSIN; E)
Gene ID: 3416
UniProt ID: P14735
Immunogen: Recombinant fusion protein containing a sequence corresponding to amino acids 1-250 of human Insulin-degrading enzyme (Insulin-degrading enzyme (IDE)) (NP_004960.2).
Dilution: WB 1:500-1:2000; IHC 1:50-1:200; IF/IC 1:10-1:100
Purification Method: Affinity purification
Concentration: 1.29 mg/ml
Buffer: PBS with 0.09% Sodium azide, 50% glycerol, pH7.3.
Storage: Store at -20°C. Avoid freeze / thaw cycles.
Documents: Manual-IDE polyclonal antibody




Background

This gene encodes a zinc metallopeptidase that degrades intracellular insulin, and thereby terminates insulins activity, as well as participating in intercellular peptide signalling by degrading diverse peptides such as glucagon, amylin, bradykinin, and kallidin. The preferential affinity of this enzyme for insulin results in insulin-mediated inhibition of the degradation of other peptides such as beta-amyloid. Deficiencies in this protein's function are associated with Alzheimer's disease and type 2 diabetes mellitus but mutations in this gene have not been shown to be causitive for these diseases. This protein localizes primarily to the cytoplasm but in some cell types localizes to the extracellular space, cell membrane, peroxisome, and mitochondrion. Alternative splicing results in multiple transcript variants encoding distinct isoforms. Additional transcript variants have been described but have not been experimentally verified.




Images

IDE rabbit pAbWestern blot analysis of various lysates using [KO Validated] Insulin-degrading enzyme (IDE) Rabbit pAb (A1630) at 1:1000 dilution.
Secondary antibody: HRP-conjugated Goat anti-Rabbit IgG (H+L) (AS014) at 1:10000 dilution.
Lysates/proteins: 25μg per lane.
Blocking buffer: 3% nonfat dry milk in TBST.
Detection: ECL Basic Kit (RM00020).
Western blot analysis of lysates from wild type (WT) and Insulin-degrading enzyme (Insulin-degrading enzyme (IDE)) knockout (KO) HeLa cells, using [KO Validated] Insulin-degrading enzyme (IDE) Rabbit pAb (A1630) at 1:1000 dilution.
Secondary antibody: HRP-conjugated Goat anti-Rabbit IgG (H+L) (AS014) at 1:10000 dilution.
Lysates/proteins: 25μg per lane.
Blocking buffer: 3% nonfat dry milk in TBST.
Detection: ECL Basic Kit (RM00020).
Exposure time: 10s.
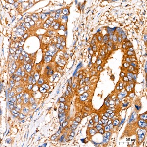
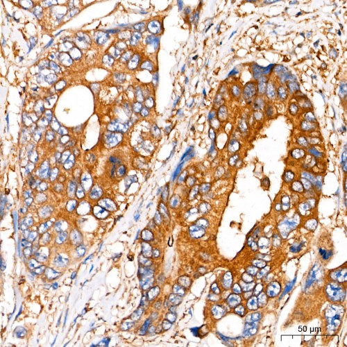
Immunohistochemistry analysis of paraffin-embedded Human colon carcinoma tissue using [KO Validated] Insulin-degrading enzyme (IDE) Rabbit pAb (A1630) at a dilution of 1:200 (40x lens). High pressure antigen retrieval performed with 0.01M Citrate Buffer(pH 6.0) prior to IHC staining.
Immunofluorescence analysis of A549 cells using [KO Validated] Insulin-degrading enzyme (IDE) Rabbit pAb (A1630). Secondary antibody: Cy3-conjugated Goat anti-Rabbit IgG (H+L) (AS007) at 1:500 dilution. Blue: DAPI for nuclear staining.



You may also be interested in:

IDE

LIFESCT © 2025

Publications

text_heading

Our Location

405 East Gude Dr., Suite 205, Rockville, MD 20850, USA

+1-301-328-1977