| Reactivity: | Human, Mouse, Rat |
| Applications: | WB, IHC, IF/IC, IP, ELISA |
| Host Species: | Rabbit |
| Isotype: | IgG |
| Clonality: | Polyclonal antibody |
| Gene Name: | hexokinase 1 |
| Gene Symbol: | HK1 |
| Synonyms: | HK; HKD; HKI; HXK1; NMSR; RP79; HMSNR; HK1-ta; HK1-tb; HK1-tc; NEDVIBA; hexokinase; K1 |
| Gene ID: | 3098 |
| UniProt ID: | P19367 |
| Immunogen: | Recombinant fusion protein containing a sequence corresponding to amino acids 21-219 of human HK1 (NP_000179.2). |
| Dilution: | WB 1:500-1:1000; IHC 1:50-1:200; IF/IC 1:50-1:200 |
| Purification Method: | Affinity purification |
| Concentration: | 1.51 mg/ml |
| Buffer: | PBS with 0.01% thimerosal, 50% glycerol, pH7.3. |
| Storage: | Store at -20°C. Avoid freeze / thaw cycles. |
| Documents: | Manual-HK1 polyclonal antibody |
Background
Hexokinases phosphorylate glucose to produce glucose-6-phosphate, the first step in most glucose metabolism pathways. This gene encodes a ubiquitous form of hexokinase which localizes to the outer membrane of mitochondria. Mutations in this gene have been associated with hemolytic anemia due to hexokinase deficiency. Alternative splicing of this gene results in several transcript variants which encode different isoforms, some of which are tissue-specific.
Images
![]() | Western blot analysis of various lysates using [KO Validated] HK1 Rabbit pAb (A1054) at 1:1000 dilution. Secondary antibody: HRP-conjugated Goat anti-Rabbit IgG (H+L) (AS014) at 1:10000 dilution. Lysates/proteins: 25μg per lane. Blocking buffer: 3% nonfat dry milk in TBST. Detection: ECL Basic Kit (RM00020). Exposure time: 10s. |
![]() | Western blot analysis of lysates from wild type (WT) and HK1 knockout (KO) 293T cells, using [KO Validated] HK1 Rabbit pAb (A1054) at 1:1000 dilution. Secondary antibody: HRP-conjugated Goat anti-Rabbit IgG (H+L) (AS014) at 1:10000 dilution. Lysates/proteins: 25μg per lane. Blocking buffer: 3% nonfat dry milk in TBST. Detection: ECL Basic Kit (RM00020). Exposure time: 10s. |
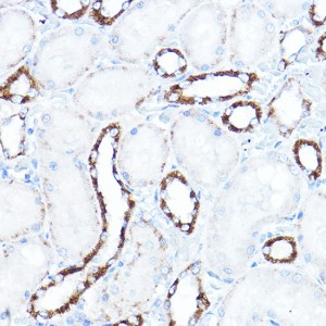
![]() | Immunohistochemistry analysis of paraffin-embedded Rat kidney using HK1 Rabbit pAb (A1054) at dilution of 1:100 (40x lens). High pressure antigen retrieval performed with 0.01M Citrate Bufferr (pH 6.0) prior to IHC staining. |
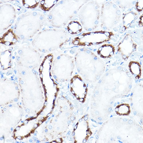
![]() | Immunohistochemistry analysis of paraffin-embedded Mouse kidney using HK1 Rabbit pAb (A1054) at dilution of 1:100 (40x lens). High pressure antigen retrieval performed with 0.01M Citrate Bufferr (pH 6.0) prior to IHC staining. |
![]() | Immunofluorescence analysis of A-549 cells using [KO Validated] HK1 Rabbit pAb (A1054) at dilution of 1:100 (40x lens). Secondary antibody: Cy3-conjugated Goat anti-Rabbit IgG (H+L) (AS007) at 1:500 dilution. Blue: DAPI for nuclear staining. |
![]() | Immunofluorescence analysis of NIH/3T3 cells using [KO Validated] HK1 Rabbit pAb (A1054) at dilution of 1:100 (40x lens). Secondary antibody: Cy3-conjugated Goat anti-Rabbit IgG (H+L) (AS007) at 1:500 dilution. Blue: DAPI for nuclear staining. |
![]() | Immunoprecipitation analysis of 300 μg extracts of 293T cells using 3 μg HK1 antibody (A1054). Western blot was performed from the immunoprecipitate using HK1 antibody (A1054) at a dilution of 1:500. |
You may also be interested in: