| Reactivity: | Human |
| Applications: | WB, IHC, ELISA |
| Host Species: | Rabbit |
| Isotype: | IgG |
| Clonality: | Polyclonal antibody |
| Gene Name: | histone cell cycle regulator |
| Gene Symbol: | HIRA |
| Synonyms: | TUP1; DGCR1; TUPLE1; RA |
| Gene ID: | 7290 |
| UniProt ID: | P54198 |
| Immunogen: | Recombinant fusion protein containing a sequence corresponding to amino acids 250-550 of human HIRA (NP_003316.3). |
| Dilution: | WB 1:500-1:2000; IHC 1:100-1:200 |
| Purification Method: | Affinity purification |
| Concentration: | 0.5 mg/ml |
| Buffer: | PBS with 0.02% sodium azide, 50% glycerol ,pH7.3. |
| Storage: | Store at -20°C. Avoid freeze / thaw cycles. |
| Documents: | Manual-HIRA polyclonal antibody |
Background
This gene encodes a histone chaperone that preferentially places the variant histone H3.3 in nucleosomes. Orthologs of this gene in yeast, flies, and plants are necessary for the formation of transcriptionally silent heterochomatin. This gene plays an important role in the formation of the senescence-associated heterochromatin foci. These foci likely mediate the irreversible cell cycle changes that occur in senescent cells. It is considered the primary candidate gene in some haploinsufficiency syndromes such as DiGeorge syndrome, and insufficient production of the gene may disrupt normal embryonic development.
Images
![]() | Western blot analysis of various lysates using [KO Validated] HIRA Rabbit pAb (A8461) at 1:1000 dilution. Secondary antibody: HRP-conjugated Goat anti-Rabbit IgG (H+L) (AS014) at 1:10000 dilution. Lysates/proteins: 25μg per lane. Blocking buffer: 3% nonfat dry milk in TBST. Detection: ECL Basic Kit (RM00020). Exposure time: 10s. |
![]() | Western blot analysis of lysates from wild type (WT) and HIRA knockout (KO) 293T cells, using [KO Validated] HIRA Rabbit pAb (A8461) at 1:1000 dilution. Secondary antibody: HRP-conjugated Goat anti-Rabbit IgG (H+L) (AS014) at 1:10000 dilution. Lysates/proteins: 25μg per lane. Blocking buffer: 3% nonfat dry milk in TBST. Detection: ECL Basic Kit (RM00020). Exposure time: 180s. |
![]() | Immunohistochemistry analysis of paraffin-embedded Human gastric cancer using [KO Validated] HIRA Rabbit pAb (A8461) at dilution of 1:100 (40x lens). Microwave antigen retrieval performed with 0.01M PBS Buffer (pH 7.2) prior to IHC staining. |
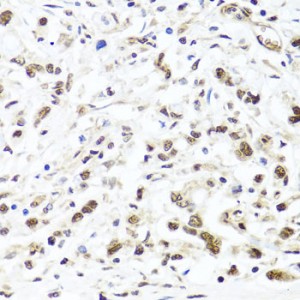
![]() | Immunohistochemistry analysis of paraffin-embedded Human lung cancer using [KO Validated] HIRA Rabbit pAb (A8461) at dilution of 1:100 (40x lens). Microwave antigen retrieval performed with 0.01M PBS Buffer (pH 7.2) prior to IHC staining. |
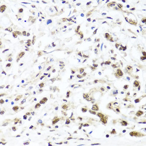
![]() | Immunohistochemistry analysis of paraffin-embedded Human colon carcinoma using [KO Validated] HIRA Rabbit pAb (A8461) at dilution of 1:100 (40x lens). Microwave antigen retrieval performed with 0.01M PBS Buffer (pH 7.2) prior to IHC staining. |
You may also be interested in: