KO-Validated HuR/ELAVL1 Rabbit pAb (20 μl)

KO-Validated HuR/ELAVL1 Rabbit pAb (20 μl)

Brand: Abclonal
Cat. #: A6089
Availability: In Stock
$128.00
-+
Reactivity: Human, Mouse
Applications: WB, IHC, IF/IC, ELISA    
Host Species: Rabbit    
Isotype: IgG    
Clonality: Polyclonal antibody    
Gene Name: ELAV like RNA binding protein 1
Gene Symbol: ELAVL1
Synonyms: HUR; Hua; MelG; ELAV1; L1
Gene ID: 1994
UniProt ID: Q15717
Immunogen: A synthetic peptide corresponding to a sequence within amino acids 1-100 of human HuR/ELAVL1 (NP_001410.2).
Dilution: WB 1:500-1:1000; IHC 1:50-1:200; IF/IC 1:50-1:200
Purification Method: Affinity purification
Concentration: 1.59 mg/ml
Buffer: PBS with 0.02% sodium azide, 50% glycerol ,pH7.3.
Storage: Store at -20°C. Avoid freeze / thaw cycles.
Documents: Manual-ELAVL1 polyclonal antibody




Background

The protein encoded by this gene is a member of the ELAVL family of RNA-binding proteins that contain several RNA recognition motifs, and selectively bind AU-rich elements (AREs) found in the 3' untranslated regions of mRNAs. AREs signal degradation of mRNAs as a means to regulate gene expression, thus by binding AREs, the ELAVL family of proteins play a role in stabilizing ARE-containing mRNAs. This gene has been implicated in a variety of biological processes and has been linked to a number of diseases, including cancer. It is highly expressed in many cancers, and could be potentially useful in cancer diagnosis, prognosis, and therapy.




Images

ELAVL1 rabbit pAbWestern blot analysis of various lysates using [KO Validated] HuR/ELAVL1 Rabbit pAb (A6089) at 1:1000 dilution.
Secondary antibody: HRP-conjugated Goat anti-Rabbit IgG (H+L) (AS014) at 1:10000 dilution.
Lysates/proteins: 25μg per lane.
Blocking buffer: 3% nonfat dry milk in TBST.
Detection: ECL Basic Kit (RM00020).
Exposure time: 20s.
Western blot analysis of lysates from wild type (WT) and HuR/ELAVL1 knockout (KO) 293T cells, using [KO Validated] HuR/ELAVL1 Rabbit pAb (A6089) at 1:1000 dilution.
Secondary antibody: HRP-conjugated Goat anti-Rabbit IgG (H+L) (AS014) at 1:10000 dilution.
Lysates/proteins: 25μg per lane.
Blocking buffer: 3% nonfat dry milk in TBST.
Detection: ECL Enhanced Kit (RM00021).
Exposure time: 90s.
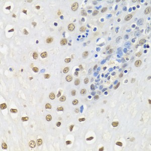
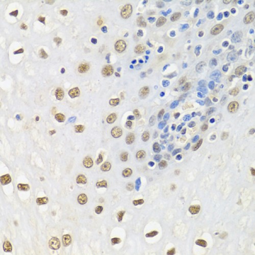
Immunohistochemistry analysis of paraffin-embedded Human esophagus using [KO Validated] HuR/ELAVL1 Rabbit pAb (A6089) at dilution of 1:100 (40x lens). Microwave antigen retrieval performed with 0.01M PBS Buffer (pH 7.2) prior to IHC staining.
Immunohistochemistry analysis of paraffin-embedded Human stomach using [KO Validated] HuR/ELAVL1 Rabbit pAb (A6089) at dilution of 1:100 (40x lens). Microwave antigen retrieval performed with 0.01M PBS Buffer (pH 7.2) prior to IHC staining.
Immunohistochemistry analysis of paraffin-embedded Mouse brain using [KO Validated] HuR/ELAVL1 Rabbit pAb (A6089) at dilution of 1:100 (40x lens). Microwave antigen retrieval performed with 0.01M PBS Buffer (pH 7.2) prior to IHC staining.
Immunofluorescence analysis of U2OS cells using [KO Validated] HuR/ELAVL1 Rabbit pAb (A6089) at dilution of 1:100. Secondary antibody: Cy3-conjugated Goat anti-Rabbit IgG (H+L) (AS007) at 1:500 dilution. Blue: DAPI for nuclear staining.



You may also be interested in:


LIFESCT © 2025

Publications

text_heading

Our Location

405 East Gude Dr., Suite 205, Rockville, MD 20850, USA

+1-301-328-1977