KO-Validated HuR/ELAVL1 Rabbit pAb (20 μl)

KO-Validated HuR/ELAVL1 Rabbit pAb (20 μl)

Brand: Abclonal
Cat. #: A1608
Availability: In Stock
$128.00
-+
Reactivity: Human, Mouse, Rat
Applications: WB, IHC, IF/IC, ELISA    
Host Species: Rabbit    
Isotype: IgG    
Clonality: Polyclonal antibody    
Gene Name: ELAV like RNA binding protein 1
Gene Symbol: ELAVL1
Synonyms: HUR; Hua; MelG; ELAV1; L1
Gene ID: 1994
UniProt ID: Q15717
Immunogen: Recombinant fusion protein containing a sequence corresponding to amino acids 1-326 of human HuR/ELAVL1 (NP_001410.2).
Dilution: WB 1:500-1:2000; IHC 1:100-1:200; IF/IC 1:50-1:200
Purification Method: Affinity purification
Concentration: 2.31 mg/ml
Buffer: PBS with 0.02% sodium azide, 50% glycerol ,pH7.3.
Storage: Store at -20°C. Avoid freeze / thaw cycles.
Documents: Manual-ELAVL1 polyclonal antibody




Background

The protein encoded by this gene is a member of the ELAVL family of RNA-binding proteins that contain several RNA recognition motifs, and selectively bind AU-rich elements (AREs) found in the 3' untranslated regions of mRNAs. AREs signal degradation of mRNAs as a means to regulate gene expression, thus by binding AREs, the ELAVL family of proteins play a role in stabilizing ARE-containing mRNAs. This gene has been implicated in a variety of biological processes and has been linked to a number of diseases, including cancer. It is highly expressed in many cancers, and could be potentially useful in cancer diagnosis, prognosis, and therapy.




Images

ELAVL1 rabbit pAbWestern blot analysis of various lysates using [KO Validated] HuR/ELAVL1 Rabbit pAb (A1608) at 1:1000 dilution.
Secondary antibody: HRP-conjugated Goat anti-Rabbit IgG (H+L) (AS014) at 1:10000 dilution.
Lysates/proteins: 25μg per lane.
Blocking buffer: 3% nonfat dry milk in TBST.
Western blot analysis of lysates from wild type (WT) and HuR/ELAVL1 knockout (KO) 293T cells, using [KO Validated] HuR/ELAVL1 Rabbit pAb (A1608) at 1:1000 dilution.
Secondary antibody: HRP-conjugated Goat anti-Rabbit IgG (H+L) (AS014) at 1:10000 dilution.
Lysates/proteins: 25μg per lane.
Blocking buffer: 3% nonfat dry milk in TBST.
Detection: ECL Basic Kit (RM00020).
Exposure time: 90s.
Immunohistochemistry analysis of paraffin-embedded Mouse testis using [KO Validated] HuR/ELAVL1 Rabbit pAb (A1608) at dilution of 1:200 (40x lens). Microwave antigen retrieval performed with 0.01M PBS Buffer (pH 7.2) prior to IHC staining.
Immunohistochemistry analysis of paraffin-embedded Rat testis using [KO Validated] HuR/ELAVL1 Rabbit pAb (A1608) at dilution of 1:200 (40x lens). Microwave antigen retrieval performed with 0.01M PBS Buffer (pH 7.2) prior to IHC staining.
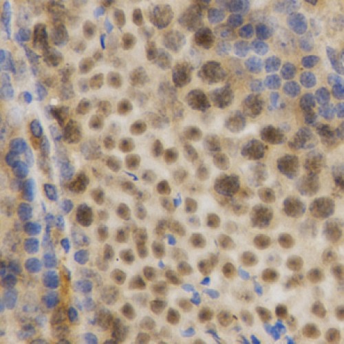
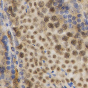
Immunohistochemistry analysis of paraffin-embedded Human esophageal cancer using [KO Validated] HuR/ELAVL1 Rabbit pAb (A1608) at dilution of 1:200 (40x lens). Microwave antigen retrieval performed with 0.01M PBS Buffer (pH 7.2) prior to IHC staining.
Immunofluorescence analysis of MCF-7 cells using [KO Validated] HuR/ELAVL1 Rabbit pAb (A1608). Secondary antibody: Cy3-conjugated Goat anti-Rabbit IgG (H+L) (AS007) at 1:500 dilution. Blue: DAPI for nuclear staining.



You may also be interested in:


LIFESCT © 2025

Publications

text_heading

Our Location

405 East Gude Dr., Suite 205, Rockville, MD 20850, USA

+1-301-328-1977