KO-Validated CIRBP Rabbit pAb (20 μl)

KO-Validated CIRBP Rabbit pAb (20 μl)

Brand: Abclonal
Cat. #: A6559
Availability: In Stock
$128.00
-+
Reactivity: Human, Mouse, Rat
Applications: WB, IHC, IF/IC, ELISA    
Host Species: Rabbit    
Isotype: IgG    
Clonality: Polyclonal antibody    
Gene Name: cold inducible RNA binding protein
Gene Symbol: CIRBP
Synonyms: CIRP; BP
Gene ID: 1153
UniProt ID: Q14011
Immunogen: Recombinant fusion protein containing a sequence corresponding to amino acids 1-172 of human CIRBP (NP_001271.1).
Dilution: WB 1:500-1:1000; IHC 1:50-1:100; IF/IC 1:10-1:100
Purification Method: Affinity purification
Concentration: 0.14 mg/ml
Buffer: PBS with 0.02% sodium azide, 50% glycerol ,pH7.3.
Storage: Store at -20°C. Avoid freeze / thaw cycles.
Documents: Manual-CIRBP polyclonal antibody




Background

Enables mRNA 3'-UTR binding activity and small ribosomal subunit rRNA binding activity. Involved in mRNA stabilization; positive regulation of translation; and response to UV. Located in cytoplasm and nucleoplasm.




Images

CIRBP rabbit pAbWestern blot analysis of various lysates using [KO Validated] CIRBP Rabbit pAb (A6559) at 1:1000 dilution.
Secondary antibody: HRP-conjugated Goat anti-Rabbit IgG (H+L) (AS014) at 1:10000 dilution.
Lysates/proteins: 25μg per lane.
Blocking buffer: 3% nonfat dry milk in TBST.
Detection: ECL Basic Kit (RM00020).
Exposure time: 90s.
Western blot analysis of lysates from wild type (WT) and CIRBP knockout (KO) 293T cells, using [KO Validated] CIRBP Rabbit pAb (A6559) at 1:1000 dilution.
Secondary antibody: HRP-conjugated Goat anti-Rabbit IgG (H+L) (AS014) at 1:10000 dilution.
Lysates/proteins: 25μg per lane.
Blocking buffer: 3% nonfat dry milk in TBST.
Detection: ECL Basic Kit (RM00020).
Exposure time: 180s.
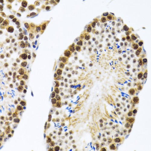
Immunohistochemistry analysis of paraffin-embedded Rat testis using [KO Validated] CIRBP Rabbit pAb (A6559) at dilution of 1:100 (40x lens). Microwave antigen retrieval performed with 0.01M PBS Buffer (pH 7.2) prior to IHC staining.
Immunohistochemistry analysis of paraffin-embedded Human breast cancer using [KO Validated] CIRBP Rabbit pAb (A6559) at dilution of 1:100 (40x lens). Microwave antigen retrieval performed with 0.01M PBS Buffer (pH 7.2) prior to IHC staining.
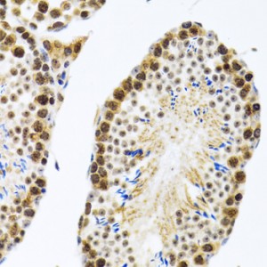
Immunohistochemistry analysis of paraffin-embedded Mouse testis using [KO Validated] CIRBP Rabbit pAb (A6559) at dilution of 1:100 (20x lens). Microwave antigen retrieval performed with 0.01M PBS Buffer (pH 7.2) prior to IHC staining.
Immunofluorescence analysis of HeLa cells using [KO Validated] CIRBP Rabbit pAb (A6559). Secondary antibody: Cy3-conjugated Goat anti-Rabbit IgG (H+L) (AS007) at 1:500 dilution. Blue: DAPI for nuclear staining.



You may also be interested in:


LIFESCT © 2025

Publications

text_heading

Our Location

405 East Gude Dr., Suite 205, Rockville, MD 20850, USA

+1-301-328-1977