KO-Validated CHD1 Rabbit pAb (20 μl)

KO-Validated CHD1 Rabbit pAb (20 μl)

Brand: Abclonal
Cat. #: A7883
Availability: In Stock
$128.00
-+
Reactivity: Human, Mouse, Rat
Applications: WB, IHC, ELISA    
Host Species: Rabbit    
Isotype: IgG    
Clonality: Polyclonal antibody    
Gene Name: chromodomain helicase DNA binding protein 1
Gene Symbol: CHD1
Synonyms: CHD-1; PILBOS; D1
Gene ID: 1105
UniProt ID: O14646
Immunogen: A synthetic peptide corresponding to a sequence within amino acids 1600 to the C-terminus of human CHD1 (NP_001261.2).
Dilution: WB 1:100-1:500; IHC 1:100-1:200
Purification Method: Affinity purification
Concentration: 0.39 mg/ml
Buffer: PBS with 0.02% sodium azide, 50% glycerol ,pH7.3.
Storage: Store at -20°C. Avoid freeze / thaw cycles.
Documents: Manual-CHD1 polyclonal antibody




Background

The CHD family of proteins is characterized by the presence of chromo (chromatin organization modifier) domains and SNF2-related helicase/ATPase domains. CHD genes alter gene expression possibly by modification of chromatin structure thus altering access of the transcriptional apparatus to its chromosomal DNA template.




Images

CHD1 rabbit pAbWestern blot analysis of lysates from wild type (WT) and CHD1 knockout (KO) 293T cells, using [KO Validated] CHD1 Rabbit pAb (A7883) at 1:500 dilution.
Secondary antibody: HRP-conjugated Goat anti-Rabbit IgG (H+L) (AS014) at 1:10000 dilution.
Lysates/proteins: 25μg per lane.
Blocking buffer: 3% nonfat dry milk in TBST.
Detection: ECL Basic Kit (RM00020).
Exposure time: 90s.
Western blot analysis of lysates from Jurkat cells, using [KO Validated] CHD1 Rabbit pAb (A7883) at 1:500 dilution.
Secondary antibody: HRP-conjugated Goat anti-Rabbit IgG (H+L) (AS014) at 1:10000 dilution.
Lysates/proteins: 25μg per lane.
Blocking buffer: 3% nonfat dry milk in TBST.
Detection: ECL Basic Kit (RM00020).
Exposure time: 90s.
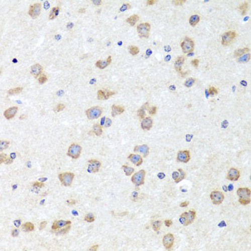
Immunohistochemistry analysis of paraffin-embedded Mouse brain using [KO Validated] CHD1 Rabbit pAb (A7883) at dilution of 1:100 (40x lens). Microwave antigen retrieval performed with 0.01M PBS Buffer (pH 7.2) prior to IHC staining.
Immunohistochemistry analysis of paraffin-embedded Human liver damage using [KO Validated] CHD1 Rabbit pAb (A7883) at dilution of 1:100 (40x lens). Microwave antigen retrieval performed with 0.01M PBS Buffer (pH 7.2) prior to IHC staining.
Immunohistochemistry analysis of paraffin-embedded Rat brain using [KO Validated] CHD1 Rabbit pAb (A7883) at dilution of 1:100 (40x lens). Microwave antigen retrieval performed with 0.01M PBS Buffer (pH 7.2) prior to IHC staining.



You may also be interested in:


LIFESCT © 2025

Publications

text_heading

Our Location

405 East Gude Dr., Suite 205, Rockville, MD 20850, USA

+1-301-328-1977