KO-Validated CDK4 Rabbit mAb (20 μl)

KO-Validated CDK4 Rabbit mAb (20 μl)

Brand: Abclonal
Cat. #: A11136
Availability: In Stock
$148.00
-+
Reactivity: Human, Mouse, Rat, Monkey
Applications: WB, IHC, ELISA    
Host Species: Rabbit    
Isotype: IgG    
Clonality: Monoclonal antibody    
Gene Name: cyclin dependent kinase 4
Gene Symbol: CDK4
Synonyms: CMM3; PSK-J3; K4
Gene ID: 1019
UniProt ID: P11802
Immunogen: A synthetic peptide corresponding to a sequence within amino acids 204-303 of human CDK4 (NP_000066.1).
Dilution: WB 1:1000-1:6000; IHC 1:200-1:2000
Purification Method: Affinity purification
Buffer: PBS with 0.09% Sodium azide, 0.05% BSA, 50% glycerol, pH7.3.
Storage: Store at -20°C. Avoid freeze / thaw cycles.
Documents: Manual-CDK4 monoclonal antibody




Background

The protein encoded by this gene is a member of the Ser/Thr protein kinase family. This protein is highly similar to the gene products of S. cerevisiae cdc28 and S. pombe cdc2. It is a catalytic subunit of the protein kinase complex that is important for cell cycle G1 phase progression. The activity of this kinase is restricted to the G1-S phase, which is controlled by the regulatory subunits D-type cyclins and CDK inhibitor p16(INK4a). This kinase was shown to be responsible for the phosphorylation of retinoblastoma gene product (Rb). Mutations in this gene as well as in its related proteins including D-type cyclins, p16(INK4a) and Rb were all found to be associated with tumorigenesis of a variety of cancers. Multiple polyadenylation sites of this gene have been reported.




Images

CDK4 rabbit mAbWestern blot analysis of various lysates, using CDK4 Rabbit mAb (A11136) at 1:1000 dilution.
Secondary antibody: HRP-conjugated Goat anti-Rabbit IgG (H+L) (AS014) at 1:10000 dilution.
Lysates/proteins: 25μg per lane.
Blocking buffer: 3% nonfat dry milk in TBST.
Detection: ECL Basic Kit (RM00020).
Exposure time: 10s.
Western blot analysis of lysates from wild type(WT) and CDK4 Rabbit mAb knockout (KO) HeLa(KO) cells, using CDK4 Rabbit mAb (A11136) at 1:1000 dilution.
Secondary antibody: HRP-conjugated Goat anti-Rabbit IgG (H+L) (AS014) at 1:10000 dilution.
Lysates/proteins: 25μg per lane.
Blocking buffer: 3% nonfat dry milk in TBST.
Detection: ECL Basic Kit (RM00020).
Exposure time: 10s.
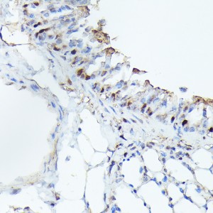
Immunohistochemistry analysis of paraffin-embedded Human cervix cancer tissue using [KO Validated] CDK4 Rabbit mAb (A11136) at a dilution of 1:500 (40x lens). High pressure antigen retrieval performed with 0.01M Citrate Bufferr (pH 6.0) prior to IHC staining.
Immunohistochemistry analysis of paraffin-embedded Human tonsil tissue using [KO Validated] CDK4 Rabbit mAb (A11136) at a dilution of 1:500 (40x lens). High pressure antigen retrieval performed with 0.01M Citrate Bufferr (pH 6.0) prior to IHC staining.
Immunohistochemistry analysis of paraffin-embedded Human breast cancer tissue using [KO Validated] CDK4 Rabbit mAb (A11136) at a dilution of 1:500 (40x lens). High pressure antigen retrieval performed with 0.01M Citrate Bufferr (pH 6.0) prior to IHC staining.
Immunohistochemistry analysis of paraffin-embedded Human cervix cancer tissue using [KO Validated] CDK4 Rabbit mAb (A11136) at a dilution of 1:500 (40x lens). High pressure antigen retrieval performed with 0.01M Citrate Bufferr (pH 6.0) prior to IHC staining.
Immunohistochemistry analysis of paraffin-embedded Human prostate tissue using [KO Validated] CDK4 Rabbit mAb (A11136) at a dilution of 1:500 (40x lens). High pressure antigen retrieval performed with 0.01M Citrate Bufferr (pH 6.0) prior to IHC staining.



You may also be interested in:


LIFESCT © 2025

Publications

text_heading

Our Location

405 East Gude Dr., Suite 205, Rockville, MD 20850, USA

+1-301-328-1977