KO-Validated CDK2 Rabbit pAb (20 μl)

KO-Validated CDK2 Rabbit pAb (20 μl)

Brand: Abclonal
Cat. #: A18000
Availability: In Stock
$128.00
-+
Reactivity: Human, Mouse, Rat
Applications: WB, IHC, ELISA    
Host Species: Rabbit    
Isotype: IgG    
Clonality: Polyclonal antibody    
Gene Name: cyclin dependent kinase 2
Gene Symbol: CDK2
Synonyms: CDKN2; p33(CDK2); K2
Gene ID: 1017
UniProt ID: P24941
Immunogen: A synthetic peptide corresponding to a sequence within amino acids 200-298 of human CDK2 (NP_001789.2).
Dilution: WB 1:500-1:2000; IHC 1:50-1:200
Purification Method: Affinity purification
Concentration: 3.05 mg/ml
Buffer: PBS with 0.09% Sodium azide, 50% glycerol, pH7.3.
Storage: Store at -20°C. Avoid freeze / thaw cycles.
Documents: Manual-CDK2 polyclonal antibody




Background

This gene encodes a member of a family of serine/threonine protein kinases that participate in cell cycle regulation. The encoded protein is the catalytic subunit of the cyclin-dependent protein kinase complex, which regulates progression through the cell cycle. Activity of this protein is especially critical during the G1 to S phase transition. This protein associates with and regulated by other subunits of the complex including cyclin A or E, CDK inhibitor p21Cip1 (CDKN1A), and p27Kip1 (CDKN1B). Alternative splicing results in multiple transcript variants.




Images

CDK2 rabbit pAbWestern blot analysis of lysates from wild type (WT) and CDK2 knockout (KO) 293T cells, using [KO Validated] CDK2 Rabbit pAb (A18000) at 1:3000 dilution.
Secondary antibody: HRP-conjugated Goat anti-Rabbit IgG (H+L) (AS014) at 1:10000 dilution.
Lysates/proteins: 25μg per lane.
Blocking buffer: 3% nonfat dry milk in TBST.
Detection: ECL Basic Kit (RM00020).
Exposure time: 5s.
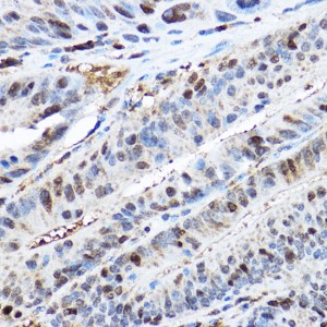
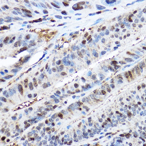
Immunohistochemistry analysis of paraffin-embedded Human colon carcinoma tissue using [KO Validated] CDK2 Rabbit pAb (A18000) at a dilution of 1:200 (40x lens). High pressure antigen retrieval performed with 0.01M Citrate Bufferr (pH 6.0) prior to IHC staining.



You may also be interested in:


LIFESCT © 2025

Publications

text_heading

Our Location

405 East Gude Dr., Suite 205, Rockville, MD 20850, USA

+1-301-328-1977