KO-Validated BUB1 Rabbit pAb (20 μl)

KO-Validated BUB1 Rabbit pAb (20 μl)

Brand: Abclonal
Cat. #: A18053
Availability: In Stock
$128.00
-+
Reactivity: Human, Mouse, Rat
Applications: WB, ELISA    
Host Species: Rabbit    
Isotype: IgG    
Clonality: Polyclonal antibody    
Gene Name: BUB1 mitotic checkpoint serine/threonine kinase
Gene Symbol: BUB1
Synonyms: BUB1A; BUB1L; hBUB1; MCPH30; B1
Gene ID: 699
UniProt ID: O43683
Immunogen: Recombinant fusion protein containing a sequence corresponding to amino acids 1-300 of human BUB1 (NP_004327.1).
Dilution: WB 1:500-1:2000WB 1:500-1:2000
Purification Method: Affinity purification
Concentration: 2.8 mg/mL
Buffer: PBS with 0.01% thimerosal, 50% glycerol, pH7.3.
Storage: Store at -20°C. Avoid freeze / thaw cycles.
Documents: Manual-BUB1 polyclonal antibody




Background

This gene encodes a serine/threonine-protein kinase that play a central role in mitosis. The encoded protein functions in part by phosphorylating members of the mitotic checkpoint complex and activating the spindle checkpoint. This protein also plays a role in inhibiting the activation of the anaphase promoting complex/cyclosome. This protein may also function in the DNA damage response. Mutations in this gene have been associated with aneuploidy and several forms of cancer. Alternate splicing results in multiple transcript variants.




Images

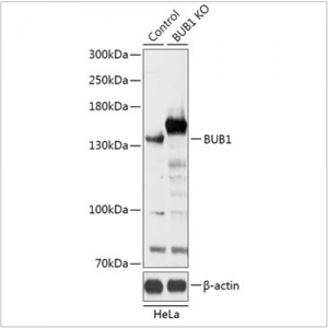
BUB1 rabbit pAb Western blot analysis of lysates from wild type (WT) and BUB1 knockout (KO) HeLa cells, using [KO Validated] BUB1 Rabbit pAb (A18053) at 1:1000 dilution.
Secondary antibody: HRP-conjugated Goat anti-Rabbit IgG (H+L) (AS014) at 1:10000 dilution.
Lysates/proteins: 25μg per lane.
Blocking buffer: 3% nonfat dry milk in TBST.
Detection: ECL Basic Kit (RM00020).
Exposure time: 1min.



You may also be interested in:

Related Products


LIFESCT © 2025

Publications

text_heading

Our Location

405 East Gude Dr., Suite 205, Rockville, MD 20850, USA

+1-301-328-1977