KD-Validated USF1 Rabbit mAb (20 μl)

KD-Validated USF1 Rabbit mAb (20 μl)

Brand: Abclonal
Cat. #: A23474
Availability: In Stock
$148.00
-+
Reactivity: Human, Mouse, Rat
Applications: WB, IHC, IF/IC, IP, ELISA    
Host Species: Rabbit    
Isotype: IgG    
Clonality: Monoclonal antibody    
Gene Name: upstream transcription factor 1
Gene Symbol: USF1
Synonyms: UEF; FCHL; MLTF; FCHL1; MLTFI; HYPLIP1; bHLHb11; [KD Validated] USF1
Gene ID: 7391
UniProt ID: P22415
Clone ID: 6T8L3
Immunogen: Recombinant fusion protein containing a sequence corresponding to amino acids 1-310 of human USF1. (NP_009053.1).
Dilution: WB 1:2000-1:10000; IHC 1:500-1:1000; IF/IC 1:50-1:200
Purification Method: Affinity purification
Concentration: 0.58 mg/mL
Buffer: PBS with 0.05% proclin300, 0.05% BSA, 50% glycerol, pH7.3.
Storage: Store at -20°C. Avoid freeze / thaw cycles.
Documents: Manual-USF1 monoclonal antibody




Background

This gene encodes a member of the basic helix-loop-helix leucine zipper family, and can function as a cellular transcription factor. The encoded protein can activate transcription through pyrimidine-rich initiator (Inr) elements and E-box motifs. This gene has been linked to familial combined hyperlipidemia (FCHL). Alternative splicing of this gene results in multiple transcript variants. A related pseudogene has been defined on chromosome 21.




Images

USF1 rabbit mAbWestern blot analysis of lysates from PC-12 cells, using [KD Validated] USF1 Rabbit mAb (A23474) at 1:10000 dilution.
Secondary antibody: HRP-conjugated Goat anti-Rabbit IgG (H+L) (AS014) at 1:10000 dilution.
Lysates/proteins: 25μg per lane.
Blocking buffer: 3% nonfat dry milk in TBST.
Detection: ECL Basic Kit (RM00020).
Exposure time: 60s.
Western blot analysis of lysates from wild type(WT) and USF1 knockdown (KD) Hela cells, using [KD Validated] USF1 Rabbit mAb (A23474) at 1:10000 dilution.
Secondary antibody: HRP-conjugated Goat anti-Rabbit IgG (H+L) (AS014) at 1:10000 dilution.
Lysates/proteins: 25μg per lane.
Blocking buffer: 3% nonfat dry milk in TBST.
Detection: ECL Basic Kit (RM00020).
Exposure time: 60s.
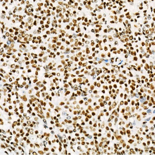
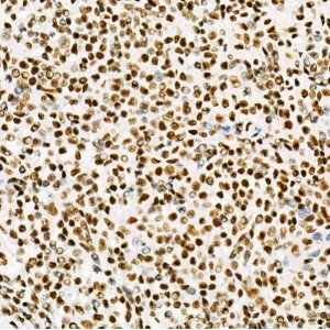
Immunohistochemistry analysis of paraffin-embedded Human spleen using USF1 Rabbit mAb (A23474) at dilution of 1:900 (40x lens). High pressure antigen retrieval performed with 0.01M Citrate Bufferr (pH 6.0) prior to IHC staining.
Immunohistochemistry analysis of paraffin-embedded Mouse lung using USF1 Rabbit mAb (A23474) at dilution of 1:900 (40x lens). High pressure antigen retrieval performed with 0.01M Citrate Bufferr (pH 6.0) prior to IHC staining.
Immunohistochemistry analysis of paraffin-embedded Rat kidney using USF1 Rabbit mAb (A23474) at dilution of 1:900 (40x lens). High pressure antigen retrieval performed with 0.01M Citrate Bufferr (pH 6.0) prior to IHC staining.
Confocal imaging of paraffin-embedded Rat thymus using [KD Validated] USF1 Rabbit mAb (A23474,dilution 1:200) followed by a further incubation with Cy3 Goat Anti-Rabbit IgG (H+L) (AS007,dilution 1:500)(Red).DAPI was used for nuclear staining (Blue). Objective: 40x. Perform high pressure antigen retrieval with 0.01 M citRate buffer (pH 6.0) prior to IF staining.
Confocal imaging of paraffin-embedded Mouse brain using [KD Validated] USF1 Rabbit mAb (A23474,dilution 1:200) followed by a further incubation with Cy3 Goat Anti-Rabbit IgG (H+L) (AS007,dilution 1:500)(Red).DAPI was used for nuclear staining (Blue). Objective: 40x.



You may also be interested in:


LIFESCT © 2025

Publications

text_heading

Our Location

405 East Gude Dr., Suite 205, Rockville, MD 20850, USA

+1-301-328-1977