KD-Validated LDHA Rabbit pAb (20 μl)

KD-Validated LDHA Rabbit pAb (20 μl)

Brand: Abclonal
Cat. #: A18574
Availability: In Stock
$128.00
-+
Reactivity: Human, Mouse
Applications: WB, IHC, IF/IC, ELISA    
Host Species: Rabbit    
Isotype: IgG    
Clonality: Polyclonal antibody    
Gene Name: actate dehydrogenase A
Gene Symbol: LDHA
Synonyms: LDHM; GSD11; PIG19; HEL-S-133P; LDHA
Gene ID: 3939
UniProt ID: P00338
Immunogen: A synthetic peptide corresponding to a sequence within amino acids 1-100 of human LDHA (NP_001158886.1).
Dilution: WB 1:500-1:1000; IHC 1:50-1:200; IF/IC 1:100-1:500
Purification Method: Affinity purification
Concentration: 0.49 mg/mL
Buffer: PBS with 0.05% proclin300, 50% glycerol, pH7.3.
Storage: Store at -20°C. Avoid freeze / thaw cycles.
Documents: Manual-LDHA polyclonal antibody




Background

The protein encoded by this gene catalyzes the conversion of L-lactate and NAD to pyruvate and NADH in the final step of anaerobic glycolysis. The protein is found predominantly in muscle tissue and belongs to the lactate dehydrogenase family. Mutations in this gene have been linked to exertional myoglobinuria. Multiple transcript variants encoding different isoforms have been found for this gene. The human genome contains several non-transcribed pseudogenes of this gene.




Images

LDHA rabbit pAbWestern blot analysis of various lysates using [KD Validated] LDHA Rabbit pAb (A18574) at 1:1000 dilution.
Secondary antibody: HRP-conjugated Goat anti-Rabbit IgG (H+L) (AS014) at 1:10000 dilution.
Lysates / proteins: 25 μg per lane.
Blocking buffer: 3 % nonfat dry milk in TBST.
Detection: ECL Basic Kit (RM00020).
Exposure time: 60s.
Western blot analysis of lysates from wild type (WT) and LDHA knockdown (KD) 293T cells using [KD Validated] LDHA Rabbit pAb (A18574) at 1:1000 dilution.
Secondary antibody: HRP-conjugated Goat anti-Rabbit IgG (H+L) (AS014) at 1:10000 dilution.Lysates/proteins: 25 μg per lane.
Blocking buffer: 3% nonfat dry milk in TBST.
Detection: ECL Basic Kit (RM00020).
Exposure time: 60s.
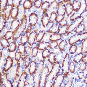
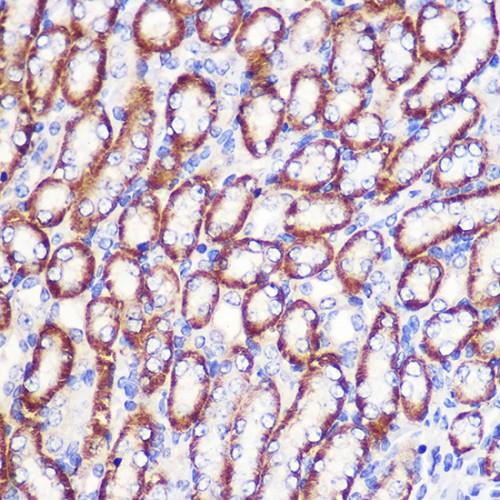
Immunohistochemistry analysis of paraffin-embedded Mouse kidney using [KD Validated] LDHA Rabbit pAb (A18574) at dilution of 1:100 (40x lens). Microwave antigen retrieval performed with 0.01M PBS Buffer (pH 7.2) prior to IHC staining.
Immunofluorescence analysis of L929 cells using [KD Validated] LDHA Rabbit pAb (A18574) at dilution of 1:100. Secondary antibody: Cy3-conjugated Goat anti-Rabbit IgG (H+L) (AS007) at 1:500 dilution. Blue: DAPI for nuclear staining.



You may also be interested in:


LIFESCT © 2025

Publications

text_heading

Our Location

405 East Gude Dr., Suite 205, Rockville, MD 20850, USA

+1-301-328-1977