KD-Validated LAMP1 Rabbit pAb (20 μl)

KD-Validated LAMP1 Rabbit pAb (20 μl)

Brand: Abclonal
Cat. #: A16894
Availability: In Stock
$108.00
-+
Reactivity: Human, Mouse, Rat
Applications: WB, IHC, IF/IC, ELISA    
Host Species: Rabbit    
Isotype: IgG    
Clonality: Polyclonal antibody    
Gene Name: lysosomal associated membrane protein 1
Gene Symbol: LAMP1
Synonyms: LAMPA; CD107a; LGP120; LAMP1
Gene ID: 3916
UniProt ID: P11279
Immunogen: A synthetic peptide corresponding to a sequence within amino acids 150-250 of human LAMP1 (NP_005552.3).
Dilution: WB 1:500-1:1000; IHC 1:50-1:200; IF/IC 1:50-1:200
Purification Method: Affinity purification
Concentration: 1.22 mg/ml
Buffer: PBS with 0.09% Sodium azide, 50% glycerol, pH7.3.
Storage: Store at -20°C. Avoid freeze / thaw cycles.
Documents: Manual-LAMP1 polyclonal antibody




Background

The protein encoded by this gene is a member of a family of membrane glycoproteins. This glycoprotein provides selectins with carbohydrate ligands. It may also play a role in tumor cell metastasis.




Images

LAMP1 rabbit pAbWestern blot analysis of lysates from wild type (WT) and LAMP1 knockdown (KD) HeLa cells using [KD Validated] LAMP1 Rabbit pAb (A16894) at 1:2000 dilution incubated overnight at 4℃.
Secondary antibody: HRP-conjugated Goat anti-Rabbit IgG (H+L) (AS014) at 1:10000 dilution.
Lysates/proteins: 25 μg per lane.
Blocking buffer: 3% nonfat dry milk in TBST.
Detection: ECL Basic Kit (RM00020).
Exposure time: 90s.
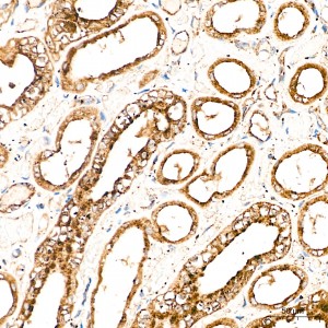
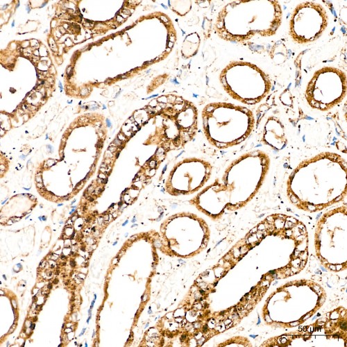
Immunohistochemistry analysis of paraffin-embedded Human kidney tissue using LAMP1 Rabbit pAb (A16894) at a dilution of 1:100 (40x lens). High pressure antigen retrieval performed with 0.01M Citrate Bufferr (pH 6.0) prior to IHC staining.
Immunohistochemistry analysis of paraffin-embedded Human colon tissue using LAMP1 Rabbit pAb (A16894) at a dilution of 1:100 (40x lens). High pressure antigen retrieval performed with 0.01M Citrate Bufferr (pH 6.0) prior to IHC staining.
Immunohistochemistry analysis of paraffin-embedded Human lung tissue using LAMP1 Rabbit pAb (A16894) at a dilution of 1:100 (40x lens). High pressure antigen retrieval performed with 0.01M Citrate Bufferr (pH 6.0) prior to IHC staining.
Immunofluorescence analysis of BALA-3T3 cells using LAMP1 Rabbit pAb (A16894) at dilution of 1:100 (40x lens). Secondary antibody: Cy3-conjugated Goat anti-Rabbit IgG (H+L) (AS007) at 1:500 dilution. Blue: DAPI for nuclear staining.



You may also be interested in:


LIFESCT © 2025

Publications

text_heading

Our Location

405 East Gude Dr., Suite 205, Rockville, MD 20850, USA

+1-301-328-1977