KD-Validated HDAC1 Rabbit pAb (20 μl)

KD-Validated HDAC1 Rabbit pAb (20 μl)

Brand: Abclonal
Cat. #: A0238
Availability: In Stock
$128.00
-+
Reactivity: Human, Mouse, Rat
Applications: WB, IHC, IF/IC, IP, ELISA    
Host Species: Rabbit    
Isotype: IgG    
Clonality: Polyclonal antibody    
Gene Name: Histone deacetylase 1
Gene Symbol: HDAC1
Synonyms: HD1; RPD3; KDAC1; GON-10; RPD3L1; C1
Gene ID: 3065
UniProt ID: Q13547
Immunogen: Recombinant fusion protein containing a sequence corresponding to amino acids 393-482 of human HDAC1 (NP_004955.2).
Dilution: WB 1:500-1:1000; IHC 1:50-1:200; IF/IC 1:50-1:100
Purification Method: Affinity purification
Concentration: 1.32 mg/mL
Buffer: PBS with 0.02% sodium azide, 50% glycerol ,pH7.3.
Storage: Store at -20°C. Avoid freeze / thaw cycles.
Documents: Manual-HDAC1 polyclonal antibody




Background

Histone acetylation and deacetylation, catalyzed by multisubunit complexes, play a key role in the regulation of eukaryotic gene expression. The protein encoded by this gene belongs to the histone deacetylase/acuc/apha family and is a component of the histone deacetylase complex. It also interacts with retinoblastoma tumor-suppressor protein and this complex is a key element in the control of cell proliferation and differentiation. Together with metastasis-associated protein-2, it deacetylates p53 and modulates its effect on cell growth and apoptosis.




Images

HDAC1 rabbit pAbWestern blot analysis of various lysates using [KD Validated] HDAC1 Rabbit pAb (A0238) at 1:2000 dilution incubated at room temperature for 1.5 hours.
Secondary antibody: HRP-conjugated Goat anti-Rabbit IgG (H+L) (AS014) at 1:10000 dilution.
Lysates/proteins: 25 μg per lane.
Blocking buffer: 3% nonfat dry milk in TBST.
Detection: ECL Basic Kit (RM00020)
Exposure time: 20 s.
Western blot analysis of lysates from wild type (WT) and HDAC1 knockdown (KD) 293T cells, using [KD Validated] HDAC1 Rabbit pAb (A0238) at 1:1000 dilution.
Secondary antibody: HRP-conjugated Goat anti-Rabbit IgG (H+L) (AS014) at 1:10000 dilution.
Lysates/proteins: 25μg per lane.
Blocking buffer: 3% nonfat dry milk in TBST.
Detection: ECL Basic Kit (RM00020).
Exposure time: 1s.
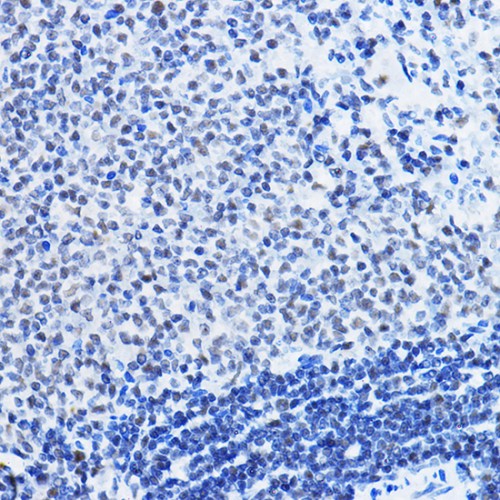
Immunohistochemistry analysis of paraffin-embedded Rat spleen using [KD Validated] HDAC1 Rabbit pAb (A0238) at dilution of 1:50 (40x lens). High pressure antigen retrieval performed with 0.01M Citrate Bufferr (pH 6.0) prior to IHC staining.
Immunohistochemistry analysis of paraffin-embedded Human lung cancer using [KD Validated] HDAC1 Rabbit pAb (A0238) at dilution of 1:50 (40x lens). High pressure antigen retrieval performed with 0.01M Citrate Bufferr (pH 6.0) prior to IHC staining.
Immunohistochemistry analysis of paraffin-embedded Human colon using [KD Validated] HDAC1 Rabbit pAb (A0238) at dilution of 1:50 (40x lens). High pressure antigen retrieval performed with 0.01M Citrate Bufferr (pH 6.0) prior to IHC staining.
Immunofluorescence analysis of A549 cells using [KD Validated] HDAC1 Rabbit pAb (A0238). Secondary antibody: Cy3-conjugated Goat anti-Rabbit IgG (H+L) (AS007) at 1:500 dilution. Blue: DAPI for nuclear staining.
Confocal immunofluorescence analysis of L929 cells using [KD Validated] HDAC1 Rabbit pAb (A0238) at dilution of 1:200. Blue: DAPI for nuclear staining.
Immunoprecipitation analysis of 200 μg extracts of HT-29 cells, using 3 μg [KD Validated] HDAC1 Rabbit pAb (A0238). Western blot was performed from the immunoprecipitate using HDAC1 antibody (A0238) at a dilution of 1:1000.



You may also be interested in:


LIFESCT © 2025

Publications

text_heading

Our Location

405 East Gude Dr., Suite 205, Rockville, MD 20850, USA

+1-301-328-1977