KD-Validated Gelsolin Rabbit mAb (20 μl)

KD-Validated Gelsolin Rabbit mAb (20 μl)

Brand: Abclonal
Cat. #: A22184
Availability: In Stock
$148.00
-+
Reactivity: Human
Applications: WB, IHC, ELISA    
Host Species: Rabbit    
Isotype: IgG    
Clonality: Monoclonal antibody    
Gene Name: gelsolin
Gene Symbol: GSN
Synonyms: ADF; AGEL; [KD Validated] Gelsolin
Gene ID: 2934
UniProt ID: P06396
Clone ID: 0N10G5
Immunogen: Recombinant fusion protein containing a sequence corresponding to amino acids 28-782 of human Gelsolin (NP_000168.1).
Dilution: WB 1:1000-1:5000; IHC 1:50-1:200
Purification Method: Affinity purification
Concentration: 0.07 mg/ml
Buffer: PBS with 0.05% proclin300, 0.05% BSA, 50% glycerol, pH7.3.
Storage: Store at -20°C. Avoid freeze / thaw cycles.
Documents: Manual-GSN monoclonal antibody




Background

The protein encoded by this gene binds to the "plus" ends of actin monomers and filaments to prevent monomer exchange. The encoded calcium-regulated protein functions in both assembly and disassembly of actin filaments. Defects in this gene are a cause of familial amyloidosis Finnish type (FAF). Multiple transcript variants encoding several different isoforms have been found for this gene.




Images

GSN rabbit mAbWestern blot analysis of lysates from Hep G2 cells, using [KD Validated] Gelsolin Rabbit mAb (A22184) at1:2000 dilution.
Secondary antibody: HRP-conjugated Goat anti-Rabbit IgG (H+L) (AS014) at 1:200000 dilution.
Lysates/proteins: 25μg per lane.
Blocking buffer: 3% nonfat dry milk in TBST.
Detection: ECL Basic Kit (RM00020).
Exposure time: 60s.
Western blot analysis of lysates from wild type(WT) and Gelsolin knockdown (KD) HeLa cells, using [KD Validated] Gelsolin Rabbit mAb (A22184) at1:2000 dilution.
Secondary antibody: HRP-conjugated Goat anti-Rabbit IgG (H+L) (AS014) at 1:200000 dilution.
Lysates/proteins: 25μg per lane.
Blocking buffer: 3% nonfat dry milk in TBST.
Detection: ECL Basic Kit (RM00020).
Exposure time: 60s.
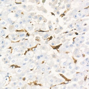
Immunohistochemistry analysis of paraffin-embedded Human liver cancer using [KO Validated] Gelsolin Rabbit mAb (A22184) at dilution of 1:100 (40x lens). High pressure antigen retrieval performed with 0.01M Citrate Bufferr (pH 6.0) prior to IHC staining.
Immunohistochemistry analysis of paraffin-embedded Human tonsil using [KO Validated] Gelsolin Rabbit mAb (A22184) at dilution of 1:100 (40x lens). High pressure antigen retrieval performed with 0.01M Citrate Bufferr (pH 6.0) prior to IHC staining.



You may also be interested in:

GSN

LIFESCT © 2025

Publications

text_heading

Our Location

405 East Gude Dr., Suite 205, Rockville, MD 20850, USA

+1-301-328-1977