| Reactivity: | Human, Mouse, Rat |
| Applications: | WB, IHC, IF/IC, ELISA |
| Host Species: | Rabbit |
| Isotype: | IgG |
| Clonality: | Monoclonal antibody |
| Gene Name: | electron transfer flavoprotein dehydrogenase |
| Gene Symbol: | ETFDH |
| Synonyms: | MADD; ETFQO |
| Gene ID: | 2110 |
| UniProt ID: | Q16134 |
| Immunogen: | Recombinant fusion protein containing a sequence corresponding to amino acids 480-617 of human ETFDH (NP_004444.2). |
| Dilution: | WB 1:12000-1:370000; IHC 1:2000-1:20000; IF/IC 1:200-1:800 |
| Purification Method: | Affinity purification |
| Concentration: | 1.27 mg/ml |
| Buffer: | PBS with 0.09% Sodium azide, 0.05% BSA, 50% glycerol, pH7.3. |
| Storage: | Store at -20°C. Avoid freeze / thaw cycles. |
| Documents: | Manual-ETFDH monoclonal antibody |
Background
This gene encodes a component of the electron-transfer system in mitochondria and is essential for electron transfer from a number of mitochondrial flavin-containing dehydrogenases to the main respiratory chain. Mutations in this gene are associated with glutaric acidemia. Alternatively spliced transcript variants that encode distinct isoforms have been observed.
Images
![]() | Western blot analysis of various lysates using [KD Validated] ETFDH Rabbit mAb (A26878) at 1:63000 dilution incubated overnight at 4℃. Secondary antibody: HRP-conjugated Goat anti-Rabbit IgG (H+L) (AS014) at 1:10000 dilution. Lysates/proteins: 25 μg per lane. Blocking buffer: 3% nonfat dry milk in TBST. Detection: ECL Basic Kit (RM00020). Exposure time: 10s. |
![]() | Western blot analysis of lysates from wild type (WT) and ETFDH knockdown (KD) 293F cells using [KD Validated] ETFDH Rabbit mAb (A26878) at 1:12000 dilution incubated overnight at 4℃. Secondary antibody: HRP-conjugated Goat anti-Rabbit IgG (H+L) (AS014) at 1:10000 dilution. Lysates/proteins: 25 μg per lane. Blocking buffer: 3% nonfat dry milk in TBST. Detection: ECL Basic Kit (RM00020). Exposure time: 5s. |
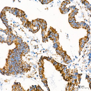
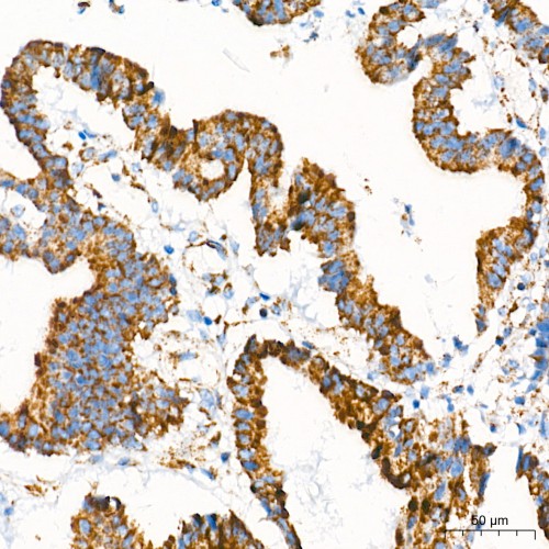
![]() | Immunohistochemistry analysis of paraffin-embedded Human colon carcinoma tissue using [KD Validated] ETFDH Rabbit mAb (A26878) at a dilution of 1:6000 (40x lens). High pressure antigen retrieval performed with 0.01M Tris-EDTA Buffer(pH 9.0) prior to IHC staining. |
![]() | Immunohistochemistry analysis of paraffin-embedded Human esophagus tissue using [KD Validated] ETFDH Rabbit mAb (A26878) at a dilution of 1:6000 (40x lens). High pressure antigen retrieval performed with 0.01M Tris-EDTA Buffer(pH 9.0) prior to IHC staining. |
![]() | Immunohistochemistry analysis of paraffin-embedded Human kidney tissue using [KD Validated] ETFDH Rabbit mAb (A26878) at a dilution of 1:6000 (40x lens). High pressure antigen retrieval performed with 0.01M Tris-EDTA Buffer(pH 9.0) prior to IHC staining. |
![]() | Immunohistochemistry analysis of paraffin-embedded Human liver cancer tissue using [KD Validated] ETFDH Rabbit mAb (A26878) at a dilution of 1:6000 (40x lens). High pressure antigen retrieval performed with 0.01M Tris-EDTA Buffer(pH 9.0) prior to IHC staining. |
![]() | Immunohistochemistry analysis of paraffin-embedded Mouse testis tissue using [KD Validated] ETFDH Rabbit mAb (A26878) at a dilution of 1:6000 (40x lens). High pressure antigen retrieval performed with 0.01M Tris-EDTA Buffer(pH 9.0) prior to IHC staining. |
![]() | Immunohistochemistry analysis of paraffin-embedded Rat liver tissue using [KD Validated] ETFDH Rabbit mAb (A26878) at a dilution of 1:6000 (40x lens). High pressure antigen retrieval performed with 0.01M Tris-EDTA Buffer(pH 9.0) prior to IHC staining. |
You may also be interested in: