KD-Validated DBT Rabbit mAb (20 μl)

KD-Validated DBT Rabbit mAb (20 μl)

Brand: Abclonal
Cat. #: A25001
Availability: In Stock
$148.00
-+
Reactivity: Human, Mouse, Rat
Applications: WB, IHC, IP, ELISA    
Host Species: Rabbit    
Isotype: IgG    
Clonality: Monoclonal antibody    
Gene Name: dihydrolipoamide branched chain transacylase E2
Gene Symbol: DBT
Synonyms: E2; E2B; BCATE2; BCKADE2; BCKAD-E2; BCKDH-E2; BCOADC-E2; [KD Validated] DBT
Gene ID: 1629
UniProt ID: P11182
Clone ID: 8B8M7
Immunogen: Recombinant fusion protein containing a sequence corresponding to amino acids 62-247 of DBT (NP_001909.4).
Dilution: WB 1:2000-1:10000; IHC 1:50-1:200
Purification Method: Affinity purification
Concentration: 1.2 mg/mL
Buffer: PBS with 0.05% proclin300, 0.05% BSA, 50% glycerol, pH7.3.
Storage: Store at -20°C. Avoid freeze / thaw cycles.
Documents: Manual-DBT monoclonal antibody




Background

The branched-chain alpha-keto acid dehydrogenase complex (BCKD) is an inner-mitochondrial enzyme complex involved in the breakdown of the branched-chain amino acids isoleucine, leucine, and valine. The BCKD complex is thought to be composed of a core of 24 transacylase (E2) subunits, and associated decarboxylase (E1), dehydrogenase (E3), and regulatory subunits. This gene encodes the transacylase (E2) subunit. Mutations in this gene result in maple syrup urine disease, type 2. Alternatively spliced transcript variants have been described, but their biological validity has not been determined.




Images

DBT rabbit mAbWestern blot analysis of various lysates using [KD Validated] DBT Rabbit mAb (A25001) at 1:6000 dilution.
Secondary antibody: HRP-conjugated Goat anti-Rabbit IgG (H+L) (AS014) at 1:10000 dilution.
Lysates/proteins: 25μg per lane.
Blocking buffer: 3% nonfat dry milk in TBST.
Detection: ECL Basic Kit (RM00020).
Exposure time: 10s.
Western blot analysis of lysates from wild type (WT) and DBT knockdown (KD) 293F cells using [KD Validated] DBT Rabbit mAb (A25001) at 1:10000 dilution.
Secondary antibody: HRP-conjugated Goat anti-Rabbit IgG (H+L) (AS014) at 1:10000 dilution.
Lysates/proteins: 25ug per lane.
Blocking buffer: 3% nonfat dry milk in TBST.
Detection: ECL Basic Kit (RM00020).
Exposure time: 10s.
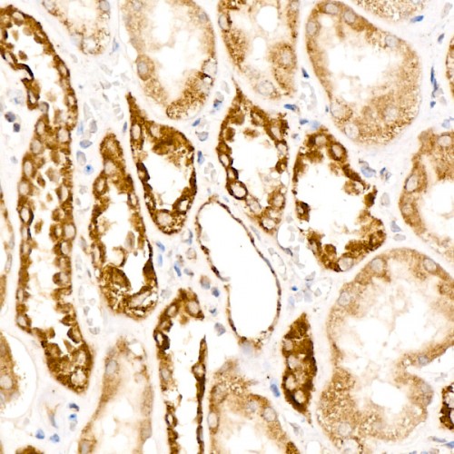
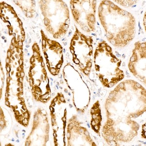
Immunohistochemistry analysis of paraffin-embedded Human kidney tissue using [KD Validated] DBT Rabbit mAb (A25001) at a dilution of 1:200 (40x lens). High pressure antigen retrieval performed with 0.01M Citrate Bufferr (pH 6.0) prior to IHC staining.
Immunoprecipitation of DBT in 300 µg extracts from Hep G2 cells using 3 µg [KD Validated] DBT Rabbit mAb (A25001). Western blot analysis was performed using [KD Validated] DBT Rabbit mAb (A25001) at 1:5000 dilution.



You may also be interested in:

DBT

LIFESCT © 2025

Publications

text_heading

Our Location

405 East Gude Dr., Suite 205, Rockville, MD 20850, USA

+1-301-328-1977