KD-Validated CREBBP Rabbit mAb (20 μl)

KD-Validated CREBBP Rabbit mAb (20 μl)

Brand: Abclonal
Cat. #: A26780
Availability: In Stock
$148.00
-+
Reactivity: Human, Mouse, Rat
Applications: WB, IHC, IF/IC, ELISA    
Host Species: Rabbit    
Isotype: IgG    
Clonality: Monoclonal antibody    
Gene Name: CREB binding protein
Gene Symbol: CREBBP
Synonyms: CBP; RSTS; KAT3A; MKHK1; RSTS1
Gene ID: 1387
UniProt ID: Q92793
Immunogen: A synthetic peptide corresponding to a sequence within amino acids 2343-2442 of human CREBBP (NP_004371.2).
Dilution: WB 1:2500-1:10000; IHC 1:500-1:2000; IF/IC 1:200-1:1500
Purification Method: Affinity purification
Concentration: 1.69 mg/ml
Buffer: PBS with 0.09% Sodium azide, 0.05% BSA, 50% glycerol, pH7.3.
Storage: Store at -20°C. Avoid freeze / thaw cycles.
Documents: Manual-CREBBP monoclonal antibody




Background

This gene is ubiquitously expressed and is involved in the transcriptional coactivation of many different transcription factors. First isolated as a nuclear protein that binds to cAMP-response element binding protein (CREB), this gene is now known to play critical roles in embryonic development, growth control, and homeostasis by coupling chromatin remodeling to transcription factor recognition. The protein encoded by this gene has intrinsic histone acetyltransferase activity and also acts as a scaffold to stabilize additional protein interactions with the transcription complex. This protein acetylates both histone and non-histone proteins. This protein shares regions of very high sequence similarity with protein p300 in its bromodomain, cysteine-histidine-rich regions, and histone acetyltransferase domain. Mutations in this gene cause Rubinstein-Taybi syndrome (RTS). Chromosomal translocations involving this gene have been associated with acute myeloid leukemia. Alternative splicing results in multiple transcript variants encoding different isoforms.




Images

CREBBP rabbit mAbWestern blot analysis of lysates from wild type (WT) and CREBBP knockdown (KD) 293T cells using [KD Validated] CREBBP Rabbit mAb (A26780) at 1:5000 dilution incubated overnight at 4℃.
Secondary antibody: HRP-conjugated Goat anti-Rabbit IgG (H+L) (AS014) at 1:10000 dilution.
Lysates/proteins: 25 μg per lane.
Blocking buffer: 3% nonfat dry milk in TBST.
Detection: ECL Basic Kit (RM00020).
Exposure time: 45s.
Western blot analysis of lysates from PC-12 cells using [KD Validated] CREBBP Rabbit mAb (A26780) at 1:5000 dilution incubated overnight at 4℃.
Secondary antibody: HRP-conjugated Goat anti-Rabbit IgG (H+L) (AS014) at 1:10000 dilution.
Lysates/proteins: 25 μg per lane.
Blocking buffer: 3% nonfat dry milk in TBST.
Detection: ECL Basic Kit (RM00020).
Exposure time: 45s.
Western blot analysis of lysates from Mouse thymus using [KD Validated] CREBBP Rabbit mAb (A26780) at 1:5000 dilution incubated overnight at 4℃.
Secondary antibody: HRP-conjugated Goat anti-Rabbit IgG (H+L) (AS014) at 1:10000 dilution.
Lysates/proteins: 25 μg per lane.
Blocking buffer: 3% nonfat dry milk in TBST.
Detection: ECL Basic Kit (RM00020).
Exposure time: 30s.
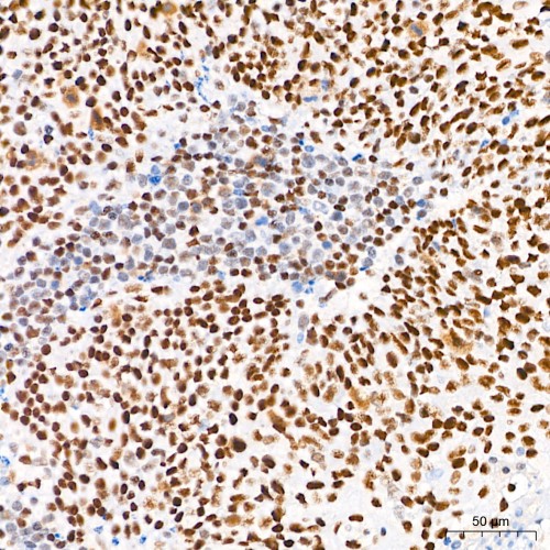
Immunohistochemistry analysis of paraffin-embedded Human tonsil tissue using [KD Validated] CREBBP Rabbit mAb (A26780) at a dilution of 1:800 (40x lens). High pressure antigen retrieval performed with 0.01M Tris-EDTA Buffer (pH 9.0) prior to IHC staining.
Immunohistochemistry analysis of paraffin-embedded Human breast cancer tissue using [KD Validated] CREBBP Rabbit mAb (A26780) at a dilution of 1:800 (40x lens). High pressure antigen retrieval performed with 0.01M Tris-EDTA Buffer (pH 9.0) prior to IHC staining.
Immunohistochemistry analysis of paraffin-embedded Mouse brain tissue using [KD Validated] CREBBP Rabbit mAb (A26780) at a dilution of 1:800 (40x lens). High pressure antigen retrieval performed with 0.01M Tris-EDTA Buffer (pH 9.0) prior to IHC staining.
Immunohistochemistry analysis of paraffin-embedded Mouse lung tissue using [KD Validated] CREBBP Rabbit mAb (A26780) at a dilution of 1:800 (40x lens). High pressure antigen retrieval performed with 0.01M Tris-EDTA Buffer (pH 9.0) prior to IHC staining.
Immunohistochemistry analysis of paraffin-embedded Mouse spleen tissue using [KD Validated] CREBBP Rabbit mAb (A26780) at a dilution of 1:800 (40x lens). High pressure antigen retrieval performed with 0.01M Tris-EDTA Buffer (pH 9.0) prior to IHC staining.



You may also be interested in:


LIFESCT © 2025

Publications

text_heading

Our Location

405 East Gude Dr., Suite 205, Rockville, MD 20850, USA

+1-301-328-1977