KD-Validated COX IV Rabbit pAb (20 μl)

KD-Validated COX IV Rabbit pAb (20 μl)

Brand: Abclonal
Cat. #: A22871
Availability: In Stock
$128.00
-+
Reactivity: Human, Mouse, Rat
Applications: WB, IHC, IF/IC, ELISA    
Host Species: Rabbit    
Isotype: IgG    
Clonality: Polyclonal antibody    
Gene Name: cytochrome c oxidase subunit 4I1
Gene Symbol: COX4I1
Synonyms: COX4; COXIV; COX4-1; COXIV-1; MC4DN16; COX IV-1; [KD Validated] COX IV
Gene ID: 1327
UniProt ID: P13073
Immunogen: Recombinant fusion protein containing a sequence corresponding to amino acids 23-98 of human COX IV. (NP_001852.1).
Dilution: WB 1:500-1:1000; IHC 1:50-1:200; IF/IC 1:50-1:200
Purification Method: Affinity purification
Concentration: 0.71 mg/ml
Buffer: PBS with 0.05% proclin300, 50% glycerol, pH7.3.
Storage: Store at -20°C. Avoid freeze / thaw cycles.
Documents: Manual-COX4I1 polyclonal antibody




Background

Cytochrome c oxidase (COX) is the terminal enzyme of the mitochondrial respiratory chain. It is a multi-subunit enzyme complex that couples the transfer of electrons from cytochrome c to molecular oxygen and contributes to a proton electrochemical gradient across the inner mitochondrial membrane. The complex consists of 13 mitochondrial- and nuclear-encoded subunits. The mitochondrially-encoded subunits perform the electron transfer and proton pumping activities. The functions of the nuclear-encoded subunits are unknown but they may play a role in the regulation and assembly of the complex. This gene encodes the nuclear-encoded subunit IV isoform 1 of the human mitochondrial respiratory chain enzyme. It is located at the 3' of the NOC4 (neighbor of COX4) gene in a head-to-head orientation, and shares a promoter with it. Pseudogenes related to this gene are located on chromosomes 13 and 14. Alternative splicing results in multiple transcript variants encoding different isoforms.




Images

COX4I1 rabbit pAbWestern blot analysis of various lysates, using [KD Validated] COX IV Rabbit pAb (A22871) at 1:500 dilution.
Secondary antibody: HRP-conjugated Goat anti-Rabbit IgG (H+L) (AS014) at 1:10000 dilution.
Lysates/proteins: 25μg per lane.
Blocking buffer: 3% nonfat dry milk in TBST.
Detection: ECL Basic Kit (RM00020).
Exposure time: 10s.
Western blot analysis of lysates from wild type(WT) and COX IVknockdown (KD) 293T cells, using [KD Validated] COX IV Rabbit pAb (A22871) at 1:500 dilution.
Secondary antibody: HRP-conjugated Goat anti-Rabbit IgG (H+L) (AS014) at 1:10000 dilution.
Lysates/proteins: 25μg per lane.
Blocking buffer: 3% nonfat dry milk in TBST.
Detection: ECL Basic Kit (RM00020).
Exposure time: 10s.
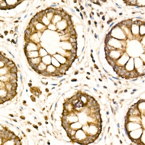
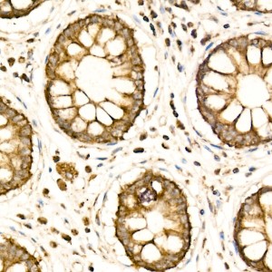
Immunohistochemistry analysis of paraffin-embedded Human colon carcinoma using [KD Validated] COX IV Rabbit pAb (A22871) at dilution of 1:100 (40x lens). High pressure antigen retrieval performed with 0.01M Citrate Bufferr (pH 6.0) prior to IHC staining.
Immunohistochemistry analysis of paraffin-embedded Human liver using [KD Validated] COX IV Rabbit pAb (A22871) at dilution of 1:100 (40x lens). High pressure antigen retrieval performed with 0.01M Citrate Bufferr (pH 6.0) prior to IHC staining.
Immunohistochemistry analysis of paraffin-embedded Mouse testis using [KD Validated] COX IV Rabbit pAb (A22871) at dilution of 1:100 (40x lens). High pressure antigen retrieval performed with 0.01M Citrate Bufferr (pH 6.0) prior to IHC staining.
Immunofluorescence analysis of HeLa cells using [KD Validated] COX IV Rabbit pAb (A22871) at dilution of 1:50 (40x lens). Secondary antibody: Cy3-conjugated Goat anti-Rabbit IgG (H+L) (AS007) at 1:500 dilution. Blue: DAPI for nuclear staining.
Immunofluorescence analysis of HepG2 cells using [KD Validated] COX IV Rabbit pAb (A22871) at dilution of 1:50 (40x lens). Secondary antibody: Cy3-conjugated Goat anti-Rabbit IgG (H+L) (AS007) at 1:500 dilution. Blue: DAPI for nuclear staining.
Immunofluorescence analysis of NIH/3T3 cells using [KD Validated] COX IV Rabbit pAb (A22871) at dilution of 1:50 (40x lens). Secondary antibody: Cy3-conjugated Goat anti-Rabbit IgG (H+L) (AS007) at 1:500 dilution. Blue: DAPI for nuclear staining.



You may also be interested in:


LIFESCT © 2025

Publications

text_heading

Our Location

405 East Gude Dr., Suite 205, Rockville, MD 20850, USA

+1-301-328-1977