Call Now:
1-301-328-1977
Email:
sales@lifesct.com
All Categories
Molecular Biology Products
Plasmids & Clones
Premade Virus
Cell Biology Products
Antibodies
- Primary Antibodies
- KD-Validated Antibodies
- Flow Cytometry Antibodies
- Secondary Antibodies
- Tag & Loading Controls
ELISA Kits
Wishlist (
0
)
Welcome visitor
Login
or
Register
.
Categories
Molecular Biology Products
Plasmids & Clones
Premade Virus
Cell Biology Products
Antibodies
Primary Antibodies
KD-Validated Antibodies
Flow Cytometry Antibodies
Secondary Antibodies
Tag & Loading Controls
ELISA Kits
Products
LiTaq™ PCR Master Mixes
LiQuant™ qPCR Master Mixes
PhaseShield™ Lock Gel
Automated Nucleic Acid Extractor
Transfection Reagents
Western Blotting Reagents
KO/KD Validated Antibodies
Portable Mass Spectrometer
Services
Gene Synthesis
siRNA Synthesis
Site-directed Mutagenesis
PCR Cloning & Subcloning
Plasmid DNA Preparation
Lentivirus Packaging
Protein Expression
Applications
Molecular Biology
Synthetic Biology
Cell Biology
Immunology
Proteomics
Microbiology
Resources
Promotions
Brochures & Flyers
Rewards Program
Publications
Customer Testimonials
Order Guide
Contact Us
My Cart
0
$0.00
Your shopping cart is empty!
KD-Validated Antibodies
KD-Validated Antibodies
Show:
10
25
50
75
100
Sort By:
Default
Name (A - Z)
Name (Z - A)
Price (Low > High)
Price (High > Low)
Model (A - Z)
Model (Z - A)
Add to Cart
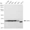
KD-Validated TSFM Rabbit mAb (20 μl)
$139.00
Reactivity: Human, Mouse, Rat Applications: WB, IF/IC, FCM, WB-KD Isotype: IgG Clone: 23GB4710 Host Species: Rabbit Clonality:..
Add to Cart
Add to Wish List
Compare this Product
Add to Cart
KD-Validated VASP Rabbit mAb (20 μl)
$139.00
Reactivity: Human Applications: WB, IF/IC, FCM, WB-KD Isotype: IgG Clone: 23GB4715 Host Species: Rabbit Clonality: Monoclonal ..
Add to Cart
Add to Wish List
Compare this Product
Add to Cart
KD-Validated WDR1 Rabbit mAb (20 μl)
$139.00
Reactivity: Human, Mouse, Rat Applications: WB, IF/IC, FCM, WB-KD Isotype: IgG Clone: 23GB4720 Host Species: Rabbit Clonality:..
Add to Cart
Add to Wish List
Compare this Product
Add to Cart
KD-Validated TARDBP Rabbit mAb (20 μl)
$139.00
Reactivity: Human, Mouse, Rat Applications: WB, IF/IC, FCM, WB-KD Isotype: IgG Clone: 23GB4730 Host Species: Rabbit Clonality:..
Add to Cart
Add to Wish List
Compare this Product
Add to Cart
KD-Validated CRKL Rabbit mAb (20 μl)
$139.00
Reactivity: Human, Mouse, Rat Applications: WB, WB-KD Isotype: IgG Clone: 23GB4735 Host Species: Rabbit Clonality: Monoclonal ..
Add to Cart
Add to Wish List
Compare this Product
Add to Cart
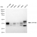
KD-Validated ATP1B3 Rabbit mAb (20 μl)
$139.00
Reactivity: Human, Mouse, Rat Applications: WB, WB-KD Isotype: IgG Clone: 23GB4740 Host Species: Rabbit Clonality: Monoclonal ..
Add to Cart
Add to Wish List
Compare this Product
Add to Cart
KD-Validated ACAT2 Rabbit mAb (20 μl)
$139.00
Reactivity: Human, Mouse, Rat Applications: WB, FCM, WB-KD Isotype: IgG Clone: 23GB4745 Host Species: Rabbit Clonality: Monocl..
Add to Cart
Add to Wish List
Compare this Product
Add to Cart
KD-Validated Phospho-PKCA (T497) Rabbit mAb (20 μl)
$139.00
Reactivity: Human, Mouse, Rat Applications: WB, FCM, WB-KD Isotype: IgG Clone: 23GB4955 Host Species: Rabbit Clonality: Monocl..
Add to Cart
Add to Wish List
Compare this Product
Add to Cart
KD-Validated RUNX1/RUNX2/RUNX3 Rabbit mAb (20 μl)
$139.00
Reactivity: Human, Mouse, Rat Applications: WB, FCM, WB-KD Isotype: IgG Clone: 23GB4800 Host Species: Rabbit Clonality: Monocl..
Add to Cart
Add to Wish List
Compare this Product
Add to Cart
KD-Validated HDAC1 Rabbit mAb (20 μl)
$139.00
Reactivity: Human, Mouse, Rat Applications: WB, FCM, WB-KD Isotype: IgG Clone: 23GB4785 Host Species: Rabbit Clonality: Monocl..
Add to Cart
Add to Wish List
Compare this Product
|<
<
28
29
30
31
32
33
34
35
36
>
>|
Showing 311 to 320 of 2054 (206 Pages)
Refine Search
Product Type
Monoclonal
Polyclonal
Species Reactivity
Human
Mouse
Rat
Rabbit
Chicken
Dog
Monkey
Pig
Bovine
Zebrafish
Applications
Flow Cytometry, FCM
Western Blot, WB
Immunohistochemistry, IHC
Immunoprecipitation, IP
Immunofluorescence, IF
ChIP
Host Species
Mouse
Rat
Rabbit
Hamster
Human Cells
E.coli
Refine Search
LIFESCT © 2025
Join Us on Facebook
Envato Market
Publications
Subscribe Us
text_heading
Send
Our Location
405 East Gude Dr., Suite 205, Rockville, MD 20850, USA
+1-301-328-1977